ミクロルナタス属細菌
(Microlunatus phosphovorus NM-1T(= NBRC 101784T))
生活排水に含まれるリンなどの栄養塩が湖水などの富栄養化を進行させ、大きな社会問題となっています。廃水処理施設では活性汚泥を用い好気槽と嫌気槽を交互に循環させることでリンを除去するシステムが導入されていますが、このリンの除去は活性汚泥に含まれるポリリン酸蓄積菌という微生物群により行われていると考えられています。ポリリン酸蓄積菌は好気条件下でリンを大量に取り込み、ポリリン酸の形で細胞内に蓄積する性質を持っています。また、同時に生分解性プラスチックの原料となるポリヒドロキシ酪酸(PHA)も蓄積することが知られています。そのため、ポリリン酸蓄積菌はリンの永続的利用や生分解性プラスチックの製造において産業的に有用である可能性がありますが、菌の分離が難しく、その機構の解明が進んでいない分野です。
Microlunatus phosphovorus NM-1Tはリン除去のための嫌気・好気交換式の廃水処理リアクターの中から分離されたアクチノバクテリア門に属するポリリン酸蓄積菌であり、菌の乾燥重量の10%以上もの量のリンを取り込むことができます。また、近年の研究から、ポリヒドロキシ酪酸の生産も示唆されました。
ゲノム解析の結果、Microlunatus phosphovorus NM-1Tのゲノムは1本の環状染色体からなることが明らかになりました。本菌はポリリン酸の蓄積に関与すると思われる遺伝子を数多く持ち、この特徴により活発なポリリン酸蓄積能を持つのではないかと推測されます。その一方で、本菌はプロテオバクテリア門のポリリン酸蓄積菌が持つポリヒドロキシ酪酸合成遺伝子を保有していないことから、本菌に特有のポリヒドロキシ酪酸合成経路があると推測され、今後の研究による解明が期待されます。

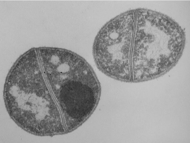
Microlunatus phosphovorus NM-1T 電子顕微鏡写真
産業技術総合研究所 提供
| ゲノムサイズ(bps) | 5,683,123 |
|---|---|
| ORF | 5,359 |
| GC含量(%) | 67.27 |
| データベース | DOGAN |
| NBRC番号 | 101784 |
| 代表共同研究先 | 独立行政法人 産業技術総合研究所 |
References:
- [1] Accumulation of polyhydroxyalkanoates by Microlunatus phosphovorus under various growth conditions.
- Akar A., Akkaya EU., Yesiladali SK., Celikyilmaz G., Cokgor EU., Tamerler C., Orhon D., Cakar ZP.(2006)
- J Ind Microbiol Biotechnol. 33:215-20.[PMID:15660231]
- [2] Microlunatus phosphovorus gen. nov., sp. nov., a new gram-positive polyphosphate-accumulating bacterium isolated from activated sludge.
- Nakamura K., Hiraishi A., Yoshimi Y., Kawaharasaki M., Masuda K., Kamagata Y.(1995)
- Int J Syst Bacteriol. 45:17-22[PMID:7857797]
お問い合わせ
- 独立行政法人製品評価技術基盤機構 バイオテクノロジーセンター バイオ技術評価・開発課(東京)
-
TEL:03-3481-1936
住所:〒151-0066 東京都渋谷区西原2-49-10 地図
お問い合わせフォームへ








