NBRCニュース 第71号
◆◇◆ ━━━━━━━━━━━━━━━━━━━━━━━━━━━━━━━━ ◆◇◆
NBRCニュース No. 71(2021.10.1)
◆◇◆ ━━━━━━━━━━━━━━━━━━━━━━━━━━━━━━━━ ◆◇◆
NBRCニュース第71号をお届けします。今号は新連載「DBRP掲載株のご紹介」として、
「二次代謝産物生産菌としての粘液細菌の魅力」について解説いたします。また、最近公開
したDBRPの新機能についてもご案内いたします。最後までお読みいただければ幸いです。
================================================================================
内容
================================================================================
1.新たにご利用可能となった微生物株
2.DBRP掲載株のご紹介(1)
二次代謝産物生産菌としての粘液細菌の魅力
3.DBRPのココが便利!(1)
NBRC株の情報が一目で直感的に分かるアイコン
4.NBRCの展示について
5.アンケート調査へのご協力のお願い
6.2021年度NITE講座開催のご案内
================================================================================
1.新たにご利用可能となった微生物株
================================================================================
◆NBRC株
酵母11株、糸状菌17株、細菌24株、アーキア1株が新たにご利用可能となりました。
糸状菌では、ヘビ真菌症(Snake Fungal Disease:SFD)の原因菌であるOphidiomyces
ophidiicola(NBRC 114438およびNBRC 114439)を公開しました。国内に輸入された飼育
ヘビの病変より分離された糸状菌で、国内のみならずアジアにおいても初めての分離例と
なります。SFDはヘビの皮膚が壊死する病気で、アメリカで飼育されていたヘビで初めて
発見されました。その後、欧米の野生のヘビでも報告があり、世界的な流行の拡大が懸念
されています。人的活動によって日本に持ち込まれる病原性真菌の防疫を行う上で、菌株
の同定等への活用が期待されます。
細菌では、日本人由来のBifidobacterium breve NBRC 115160を公開しました。プロバ
イオティクスとして注目されているビフィズス菌の一つで、発酵乳製品等への活用が期待
されます。また、ヒトの口腔由来の乳酸菌5株(Lactiplantibacillus plantarum NBRC 115163、
NBRC 115164、NBRC 115165およびNBRC 115167、Liquorilactobacillus nagelii NBRC 115166)
を公開しました。
【詳細】 https://www.nite.go.jp/nbrc/cultures/nbrc/new_strain/new_dna.html
================================================================================
2.DBRP掲載株のご紹介(1)
二次代謝産物生産菌としての粘液細菌の魅力
(味の素株式会社生産統括センター 梶浦貴之、篠崎純子、三橋麻由)
================================================================================
粘液細菌(myxobacteria)をご存知だろうか?医薬や農薬の元になる天然物質の生産微
生物としては放線菌や糸状菌が有名だが、粘液細菌はそれらに負けない多様な二次代謝物
質を生産する微生物である。
粘液細菌の生産物には抗腫瘍物質や抗菌物質が多い。抗腫瘍剤として2007年より米国で
販売されたixabepiloneの他、tubulysin、bengamide、disorazol、maltepolideなどが挙
げられる。Ixabepiloneは粘液細菌の代謝物であるエポチロン(epothilone)の誘導体で
あり、環状ポリケチドと非リボゾームペプチド(側鎖のチアゾール部分)のハイブリッド
型構造を持ち、チューブリン重合を修飾する活性を持つ。抗菌物質では、抗真菌物質
haliangicin、抗結核菌物質thuggacin、虫歯菌バイオフィルム形成阻害物質carolactonな
どが報告されている。
当社の粘液細菌株の多くは抗菌活性を示すが、その中で抗腫瘍物質や抗真菌物質の生産
菌として報告した株は、抗腫瘍物質stipiamide生産Myxococcus stipitatus AJ 12587や抗
腫瘍物質miuraenamide生産Myxobacterium sp. AJ 110262、抗真菌物質haliangicin生産
Haliangium ochraceum AJ 13395である(表1)。
【抗腫瘍物質stipiamide生産Myxococcus stipitatus AJ 12587】
https://www.nite.go.jp/nbrc/dbrp/dataview?dataId=STAJ0000000012587
【抗腫瘍物質miuraenamide生産Myxobacterium sp. AJ 110262】
https://www.nite.go.jp/nbrc/dbrp/dataview?dataId=STAJ0000000110262
【抗真菌物質haliangicin生産Haliangium ochraceum AJ 13395】
https://www.nite.go.jp/nbrc/dbrp/dataview?dataId=STAJ0000000013395
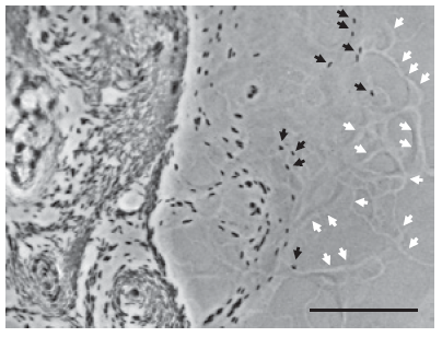
また、粘液細菌は多様な二次代謝産物の生産だけでなく、細菌でありながら多細胞生物 の様なユニークな形態をとる。あたかも戦国時代の隊陣の様に多くの細胞が秩序だった振 る舞いをする(図1)。一方で集団から外れ、明らかに単独で動いているように思われる 行動パターンをとる細胞も見られる。このような行動パターンをadventurous motility (A-motility)と呼ぶ。粘液細菌は他の微生物菌体や植物遺体(セルロース)といった一 般の細菌にとって利用しにくい固形の餌を好んで捕食するため、この餌を求めて、いくつ かの斥候のような細胞が存在すると考えられている。このA-motility細胞が微生物を求め て動き回り、餌に出会うと、後続の集団で動くsocial motility(S-motility)細胞群が この餌場に向かって集まってくる。どうやら先頭が餌と接触したという情報が、後方の細 胞集団に何らかの方法で伝達されているらしい。統制の取れた集団移動を行い、狩りをす ることから、粘液細菌コロニーはWolf pack(狼の群れ)と呼ばれている。

【図1】 Myxococcus xanthusコロニー先端
部の位相差顕微鏡写真
隊列を組みながら移動する細菌と単独行動を
とる細菌(黒矢印)。これらが動いた跡には大
量に分泌される粘液物質により足跡(白矢印)
ができる。(Bar=100µm)
以上の様に、粘液細菌は捕食活動のために動き回って餌菌体の周りに集まり、溶菌酵素 と抗菌物質という2つの大きな武器を使って、効率的に溶菌、捕食することができる。溶 菌酵素としては、プロテアーゼ、ペプチダーゼなどのタンパク質分解酵素やグルカナーゼ などの細胞壁(多糖)分解酵素が溶菌作用の主役を担っている。その他にリパーゼ、ホス ホリパーゼ、(ヘミ)セルラーゼ、アミダーゼなどの多数の分解系酵素も生産する。抗菌 物質を含む二次代謝産物も多種多様(1)(2)で、その作用機構も呼吸阻害、細胞骨格形成阻 害(微小管脱重合の阻害/過促進)、その他DNA結合阻害、DNA(RNA)ポリメラーゼ阻害、 タンパク質合成阻害、プロテアソーム阻害など多様である。 このように酵素や抗生物質を豊富に生産する能力は、粘液細菌が自然界の多種多様な場 所に存在し、そこで出会う様々な外敵微生物と戦い、捕食活動をして生き残るために獲得 したものだろう。 当社では、粘液細菌の分離源を陸上だけでなく、海洋にも広げ、多くの海洋性粘液細菌 も取得してきた(3)(4)。さらに温泉から高温性菌も報告している(5)。 最後に、20年近く前、当社は様々な微生物を分離収集した。しかし、それら微生物は ディープフリーザーに保管され、休眠状態にある。この度、DBRPに掲載させて頂いた味の 素株式会社の菌株コレクションには、今回紹介した粘液細菌の他に、水生不完全菌、子嚢 菌類、酢酸菌、ペニシリウムもある。 昨今、大昔の倉庫や金庫を丸ごと買い取って、お宝を探すトレジャーハンターがいる。 そんなトレジャーハンターの気持ちで、当社菌株コレクションに興味を持って頂ける方が いらしたら、当社への連絡※をお待ちしている。 ※連絡先を含む各コレクションの情報 【味の素株式会社の菌株コレクション】 https://www.nite.go.jp/nbrc/dbrp/dataview?dataId=COLL0000100000001 【粘液細菌】 https://www.nite.go.jp/nbrc/dbrp/dataview?dataId=COLL0000100000004 【水生不完全菌】 https://www.nite.go.jp/nbrc/dbrp/dataview?dataId=COLL0000100000005 【子嚢菌類】 https://www.nite.go.jp/nbrc/dbrp/dataview?dataId=COLL0000100000002 【酢酸菌】 https://www.nite.go.jp/nbrc/dbrp/dataview?dataId=COLL0000100000006 【ペニシリウム】 https://www.nite.go.jp/nbrc/dbrp/dataview?dataId=COLL0000100000003 (1) Gerth et al. (2003). J. Biotechnol., 106, 233-253. (2) 小鹿,不藤 (2009). ファルマシア, 45, 899-904. (3) Iizuka et al. (1998). FEMS Microbiol. Lett., 169, 317-322. (4) Fudou et al. (2002). J. Gen. Appl. Microbiol., 48, 109-115. (5) Iizuka et al. (2006). Microbes Environ., 21, 189-199. ================================================================================ 3.DBRPのココが便利!(1) NBRC株の情報が一目で直感的にわかるアイコン (林 岳夫) ================================================================================ DBRP(Data and Biological Resource Platform:生物資源データプラットフォーム) は、NBRCだけでなく国内の他の公的機関や企業が保有する生物資源のうち、55,000株を超 える微生物株とその関連情報を収録しています。これらの関連情報をお探しの際は、キー ワードを入力して検索する方法の他に、様々な機能を活用できます。例えば、タグとして 登録されたキーワードを用いて検索する機能(https://www.nite.go.jp/nbrc/dbrp/taglist) や、塩基配列やアミノ酸配列を用いて類似する配列を探す相同性検索機能 (https://www.nite.go.jp/nbrc/dbrp/blast)などもご利用いただけます。NBRCが提供し ているスクリーニング株(RD株)の相同性検索もこちらで行えます。今回は、微生物株を お探しの際に便利なアイコンを紹介します。 DBRPで公開しているNBRC株の株情報ページでは、関連する様々な情報をアイコンで表示 し、一目でわかるようにしました。DBRPでNBRC株を探す際やNBRC株の関連情報を確認する 際に便利です。また、NBRCオンラインカタログ(https://www.nite.go.jp/nbrc/catalogue/) でNBRC株を購入する際にも、カタログの検索結果の詳細情報ページ下部のゾウのアイコン のリンクからDBRPへ移動し、微生物株の関連情報を容易に確認することができます。 アイコンで表示する情報は、微生物分類、分離源、生育温度、同種保有株数、危険度分 類の5つです。 (1)微生物分類アイコンは、微生物株が細菌なのか、菌類なのかなど、画像で直感的 にわかります。bacteria/細菌、archaea/古細菌、fungi/菌類、yeast/酵母、algae/藻類、 phage/ファージの6種類で表示しています。閲覧しているNBRC株がお探しのどの生物のグ ループであるかどうかをすぐ判断するのに役立ちます。 (2)分離源アイコンは、微生物株が大まかにどのような場所から分離されたかがわか ります。geosphere/地圏、atmosphere/大気、hydrosphere/水圏、anthrosphere/人的活動 関連、organism body associated/有機体関連の5種類で表示し、例えば、「人的活動関連」 の場合はヒトの生活に関連する食品などから分離されたものであることが、「有機体関連」 の場合はヒトを含む動物や植物などから分離されたものであることがアイコンの絵で表示 されます。分離源を参考にNBRC株を探す際などに役立ちます。 (3)生育温度アイコンは、微生物株の生育至適温度や生育できる最低温度と最高温度 を温度計に表示しています。NBRC株を培養する際の温度条件について検討する際などにお 役立てください。 (4)同種保有株数アイコンは、NBRCとJCM(Japan Collection of Microorganisms)で それぞれ保有している同種の微生物の株数を表示します。同種の微生物株をお求めの際な どに役立ちます。これは戦略的イノベーション創造プログラム(SIP)での連携成果です。 なお、Internet Explorerでは表示されませんので、他のウェブブラウザでご覧ください。 (5)危険度分類アイコンは、NBRC株のBSL(Biosafety Level:バイオセーフティレベ ル、注1)の情報に応じて、BSL1、BSL1*、BSL2の3種類で表示しています。NBRC株の取り 扱い方法について判断する際にご活用ください。 アイコン表示の具体例としてLactobacillus acetotolerans NBRC 13120の株情報ページ (https://www.nite.go.jp/nbrc/dbrp/dataview?dataId=STNB0000000013120)を見てみま すと、細菌であること、30℃で生育し、ヒトの生活に関連する食品などが分離源であるこ と等が一目でわかります。 NBRC株をお求めの際やNBRC株の関連情報を確認する際に、是非DBRPの株情報ページをご 活用ください。なお、株情報ページのアイコン表示は、現在NBRC株に限定していますので ご注意ください。 注1:WHO(世界保健機関)の「実験室バイオセーフティ指針(Laboratory Biosafety Manual)第3版(2004年)」に基づき、各国(地域あるいは組織)は、微生物の病原性や 現地における条件等を考慮して、独自で微生物・病原体のリスク評価を行い、4段階のリ スク群(BSL1~BSL4)に分類しています。加えて、BSL1*は日本細菌学会に準じ、細菌、 古細菌に限ったもので、BSL1のうちヒトからの分離例があり、日和見感染症を起こす可能 性があるものに分類したものです。 ================================================================================ 4.NBRCの展示について ================================================================================ 以下のイベントにて講演および出展を行います。ぜひご参加ください。 第53回洗浄に関するシンポジウム 講演 講演タイトル:新型コロナウイルスに対する代替消毒方法の有効性評価 日時:2021年10月12日(火)午後 場所:オンライン URL:https://jocs.jp/oil-multi/cleaningdetergent/2021/07/29/第53回-洗浄に関するシンポジウム参加申込み/ ※ご視聴の際には事前登録が必要です。 BioJapan2021 ブース出展 日時:2021年10月13日(水)~15日(金) 場所:パシフィコ横浜 出展ブース番号:D-17 URL:https://jcd-expo.jp/ja/ ※ご来場の際には事前登録が必要です。 BioJapan2021 スポンサーセミナー講演 タイトル:ヘルスケア、ものづくり分野への新たな価値の創出に向けて ~加速するバイオデータ連携と利活用~ 配信期間:10月13日(水)10:00~15日(金)17:00 講演番号:デジタル分野【S-24】 URL:https://biojapan2021.jcdbizmatch.jp/jp/ORGSeminar/Info/Main ※ご視聴の際には事前登録が必要です。 ※NITEのウェブページからも開催概要をご案内しております。 URL:https://www.nite.go.jp/nbrc/information/BioJapan2021_sponsor_seminar.html 第11回CSJ化学フェスタ2021 講演 講演会タイトル:コロナに負けるな!衛生分野からの挑戦 講演タイトル:新型コロナウイルスに対する代替消毒方法の有効性評価について 日時:2021年10月19日(火)9:30~12:00 場所:オンライン(Zoom) URL:https://www.csj.jp/festa/2021/ ※ご視聴の際には事前登録が必要です。 参加登録の受付は終了していますが、以下のイベントでも出展、講演を行います。 トーゴーの日シンポジウム2021 ポスター発表 ポスター1:【44】DBRP(生物資源データプラットフォーム)のアップデート ポスター2:【45】微生物有害情報データベース Microbial Risk Information Database(M-RINDA):アップデート 2021 日時:2021年10月5日(火) 場所:オンライン URL:https://biosciencedbc.jp/event/symposium/togo2021/ 第73回日本生物工学会大会 シンポジウム開催・講演 シンポジウムタイトル:バイオとデジタルの融合による世界最先端のバイオエコノミー 社会の実現に向けて ~データ駆動型バイオテクノロジーを支えるデータプラットフォーム~ 日時:2021年10月28日(木)13:00~15:00 場所:オンライン(Zoom)H2会場 URL:https://www.sbj.or.jp/2021/symposium/symposium_details.html 講演タイトル:カルチャーコレクションNBRCの極限環境微生物とその産業利用に向けた 取り組み(シンポジウム「国内バイオリソースと極限環境生物研究の融合による産業シー ズの開拓」にて講演) 日時:2021年10月29日(金)13:00~15:00 場所:オンライン(Zoom)H2会場 URL:https://www.sbj.or.jp/2021/symposium/symposium_details.html ================================================================================ 5.アンケート調査へのご協力のお願い ================================================================================ 現在、「NBRCが提供するサービスと品質に関するアンケート」および「NBRCニュースに 関するアンケート」を実施しております。ぜひ忌憚の無いご意見をお寄せください。 【NBRCが提供するサービスと品質に関するアンケート】 https://reg34.smp.ne.jp/regist/is?SMPFORM=lena-lhkbpf-aeb592c615b92f88e8ce16b801af9711 所用時間(目安):7分 実施期間:10月31日(日)まで 【NBRCニュースに関するアンケート】 https://reg34.smp.ne.jp/regist/is?SMPFORM=lena-lhmhlj-f794397e642f8f432975779fbf01791b 所用時間(目安):3分 ================================================================================ 6.2021年度NITE講座開催のご案内 ================================================================================ NITEでは、今年度、NITE講座を開催いたします。 製品や化学物質の安全に関する知識、製品・サービスの品質や安全性、信頼性に貢献す る認証や認定制度に関する知識、微生物やバイオテクノロジーに関する知識、蓄電池や電 力安全に関する知識などを習得いただけます。是非、受講ください。 URL:https://www.nite.go.jp/nite/koho/event/kouza/2021fy.html ================================================================================ 編集後記 ================================================================================ 外出する機会があまりなかったせいか、暑い季節を過ごした実感がないまま夏が終わっ てしまいました。外に出ないでも季節の変化を感じられるような物事があるとよいなぁと 思うこの頃です。(TH) ================================================================================ 微生物に関する情報、ツールを公開しています。ぜひご活用ください! ●微生物情報の検索は「生物資源データプラットフォーム」 https://www.nite.go.jp/nbrc/dbrp/top ▲NBRC株の検索、ご依頼は「NBRCオンラインカタログ」 https://www.nite.go.jp/nbrc/catalogue/NBRCDispSearchServlet?lang=ja ◆微生物の復元、培養、保存法の紹介動画 https://www.nite.go.jp/nbrc/cultures/support/ampoule.html ■微生物の有害情報の検索は「M-RINDA」 https://www.nite.go.jp/nbrc/mrinda/ ================================================================================ ◆◇◆ ━━━━━━━━━━━━━━━━━━━━━━━━━━━━━━━━ ◆◇◆ ・画像付きのバックナンバーを以下のサイトに掲載しております。受信アドレス変更、 受信停止も以下のサイトからお手続きいただけます。 https://www.nite.go.jp/nbrc/cultures/others/nbrcnews/nbrcnews.html ・NBRCニュースは配信登録いただいたメールアドレスにお送りしております。 万が一間違えて配信されておりましたら、お手数ですが、下記のアドレスにご連絡 ください。 ・ご質問、転載のご要望など、NBRCニュースについてのお問い合わせは、下記のアド レスにご連絡ください。 ・掲載内容を許可なく複製・転載することを禁止します。 ・偶数月の1日(休日の場合はその前後)に配信します。第72号は2021年12月1日に配 信予定です。 編集・発行 独立行政法人製品評価技術基盤機構(NITE)バイオテクノロジーセンター(NBRC) NBRCニュース編集局(nbrcnews【@】nite.go.jp) (メールを送信される際は@前後の【】を取ってご利用ください) ◆◇◆ ━━━━━━━━━━━━━━━━━━━━━━━━━━━━━━━━ ◆◇◆
お問い合わせ
-
独立行政法人製品評価技術基盤機構 バイオテクノロジーセンター
生物資源利用促進課
(お問い合わせはできる限りお問い合わせフォームにてお願いします) -
TEL:0438-20-5763
住所:〒292-0818 千葉県木更津市かずさ鎌足2-5-8 地図
お問い合わせフォームへ









