◆◇◆ ━━━━━━━━━━━━━━━━━━━━━━━━━━━ ◆◇◆
NBRCニュース No. 8(2011.3.31)
◆◇◆ ━━━━━━━━━━━━━━━━━━━━━━━━━━━ ◆◇◆
このたびの地震により、被災された地域の皆様、関係者の皆様に心よりお見
舞い申し上げます。被災地の一日でも早い復興をお祈り申し上げます。
NBRCおよび特許微生物寄託センター(千葉県木更津市)は幸いにも地震の被
害を直接被っておらず、通常通り業務を続けております。しかしながら、関東
地方では計画停電が実施されており、ご不便をおかけすることがあるかもしれ
ません。なにとぞ、ご了承くださいますようお願い申し上げます。
(等幅フォントでご覧ください)
======================================================================
内容
======================================================================
1.新たにご利用可能となった微生物株(2011年2月1日~2011年3月30日)
2.微生物あれこれ(5)
細菌の新種提案のための菌株寄託
3.微生物の培養法(4)
バクテリオファージ
4.アジアの微生物 (4)
ベトナム放線菌から学んだこと
5.NBRC微生物実験講習会について
6.海外微生物探索へのお誘い
======================================================================
1.新たにご利用可能となった微生物株(2011年2月1日~2011年3月30日)
======================================================================
酵母 5株、糸状菌 50株、細菌 61株、微細藻類 2株、微生物ゲノムDNA 7種
類、微生物クローン 2種類を新たに公開しました。
ご好評いただいております微生物ゲノムDNAの提供は、これまで細菌とアー
キアのみでしたが、新たに真核微生物も加わりました。第一弾として出芽酵母
Saccharomyces cerevisiae NBRC 1136 (= S288C) 株のゲノムDNAの提供を開始
いたしました。是非ご利用ください。今後も真核微生物の種類を増やす予定で
す。その他、新門に属する細菌として日本から提案され、NITEでゲノム塩基配
列を決定した磁性細菌Gemmatimonas aurantiacaなど、新たに6株
を追加しております。また、下記微生物ゲノムDNAのページ内にあります『微
生物ゲノムDNAに関するミニアンケート』にご協力ください。ゲノムDNAの分譲
対象株の選定の参考にさせていただきます。
【新規公開株一覧】
https://www.nite.go.jp/nbrc/cultures/nbrc/new_strain/new_dna.html
【アンケート】
https://reg34.smp.ne.jp/regist/is?SMPFORM=lena-ldrjn-61f3642a257601c9c3e7d557203b8888
======================================================================
2.微生物あれこれ(5)
細菌の新種提案のための菌株寄託 (村松由貴、中川恭好)
======================================================================
原核生物(細菌およびアーキア)の種数は毎年著しく増加しており、2010年
には550種以上の新種が発表されています。新種を含め新しい学名は、国際細
菌命名規約(International Code of Nomenclature of Bacteria)に則って、
発表する必要があります。ルールに従っていない場合は、正式に発表された学
名とみなされません。新しい学名は、学術雑誌International Journal of
Systematic and Evolutionary Microbiology (IJSEM)に発表するか、他の雑
誌に発表した論文をIJSEM誌に送り、IJSEM誌のvalidation list(正式発表さ
れた学名のリスト)に掲載される必要があります。また新種の基準株は、2ヶ
国2ヶ所以上の公的なカルチャーコレクションに寄託し、第三者が入手できる
ようにしなければなりません。そして論文発表者は、コレクションが発行する
証明書類をIJSEM誌に提出する必要があります。NBRCが受け入れた菌株に対し
て発行する受託証は、IJSEM誌への証明書としてご利用いただけます。これら
のルールについては、IJSEM誌のホームページでも紹介されております。
受託証は、菌株の保存と所定の品質管理試験(NBRCニュース第3号、7号)が
終了した後に発行しております。そのため、発行までに早くても1~2ヶ月ほど
かかり、生育の遅い菌などでは、2ヶ月以上要することもあります。ご寄託い
ただいた菌株が保存できていること、菌株に間違いがないことを確認するため
の作業ですので、ご了承ください。新種発表など受託証を必要とされる場合に
は、余裕をもって菌株をご寄託いただければ幸いです。また、多くの学術誌で
は、受託証が未提出でも論文の受付や審査は行い、受理や掲載までに受託証を
提出すればよいようです。
NBRCでは、新種の基準株だけでなく、さまざまな菌株のご寄託を受け付けて
おります。詳細は以下のページでも紹介しておりますが、ご不明の点がござい
ましたら、お気軽にお尋ね下さい。是非、貴重な菌株のご寄託にNBRCをご利用
下さい。
【菌株のご寄託について】 https://www.nite.go.jp/nbrc/cultures/deposit/index.html
【IJSEMのホームページ】 https://ijs.microbiologyresearch.org/content/journal/ijsem
======================================================================
3.微生物の培養法(4)
バクテリオファージ (藤田克利)
======================================================================
バクテリオファージ(bacteriophage)はウイルスの1種で、細菌を宿主とし
ており、「細菌(bacteria)を食べるもの(ギリシア語:phagos)」を意味し
ています。バクテリオファージ(ファージ)は、形態とゲノムを構成している
核酸の種類で分類されています。核酸の種類では、二本鎖DNA、一本鎖DNA、二
本鎖RNAあるいは一本鎖RNAを核酸にもつファージが存在します。二本鎖DNAフ
ァージの中にも生活環が異なるものがあり、ラムダファージは宿主の染色体に
入り込むことができる溶原化(temperate)ファージであるのに対して、T4フ
ァージは宿主を溶菌するだけの毒性(virulent)ファージです。ファージの増
殖には宿主が必要なため、一手間かかります。今回は、バクテリオファージの
復元培養方法について紹介します。
◆ 培地の調製
(1) 宿主菌を一晩培養した培養液0.3 mlを指定培地3 mlに接種し、数時間振盪
します(宿主の生育速度に応じて振盪時間を適宜増減してください)。
(2) 宿主菌の培養に指定されている平板培地を用意し(ボトムプレート、寒天
濃度 1.5%)、42~45℃に保温します。
(3) (2)と同じ培地成分で寒天濃度を下げたソフトアガーをメディウム瓶など
で調製して、4 mlずつ試験管に分注し、42~45℃に保温します(トップア
ガー、寒天濃度0.7%)。
(4) (1)で培養した宿主菌液0.1 mlを、トップアガーが入った(3)の試験管に加
え、軽く混合して全量をボトムプレートの上に重層します。トップアガー
が固化したことを確認後、以下のファージの培養に用います(培養用プレ
ート)。

A:ボトムプレート(左)とトップアガー(右) B:トップアガーを試験管に分注後、45℃で保温する C:45℃で保温したボトムプレート(手前)、分注保温しておいたトップアガー(奥左)、 宿主菌の入った試験管(奥右) D:宿主菌の入った試験管にトップアガーを加え混合する E:ただちにボトムプレートに注いで広げる ◆ 復元培養の手順 (1) アンプルを開封し、指定の復水液0.2 mlを加え数分間静置します。 (2) 穏やかに混合後、滅菌済チューブに移し、さらに復水液を加え1 mlにしま す(ファージ溶液)。
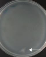
(3) 培養用プレート1枚あたりに、ファージ溶液 0.2~0.3 mlを静かにのせ、プレート表面に広 げて培養します。プレート表面の一部はファー ジ溶液を塗らずに残しておきます。ファージ 溶液を塗った部分と塗っていない部分の大腸 菌の生育の相違で、ファージの増殖を判別す るためです。 (4) ファージが増殖するとファージ溶液を塗った部 分の宿主菌が溶菌します。溶液を塗っていない 部分は、宿主菌がそのまま増殖するため、溶菌 部分と比較ができ、ファージの増殖を確認しや すくなります。ファージの中には宿主菌を溶菌 しないものがあり、そのようなファージでは増 殖部分が綺麗に透明(clear)になりません。 しかし、宿主はファージ感染により生育が遅く なり、その結果ファージ増殖部分が、薄く濁っ た半透明の状態(turbid)になります。 |
![]() ファージ溶液を 塗り残した部分(矢印) |
(5) ファージが増殖したプレートに液体培地1 mlを加え、ループなどでトップ アガーをかき集め、遠沈管に移します。さらに液体培地を1 ml加え、残っ たトップアガーを洗浄回収します。 (6) ボルテックスで軽く混和した後、遠心分離します。 (15 mlの遠沈管の場合、10,000 g、15分、4℃)【2015年12月追記】 (7) 上清液を孔径0.2µmフィルターで濾過滅菌します。濾過液にファージが回 収されます。濾過液の一部を宿主菌の指定平板培地に滴下し、宿主菌の増 殖が見られなければ滅菌処理ができていると判定します。 (8) ファージを含む濾過液は4℃で保存できますが、長期保存には不向きです。 また、ファージの種類により保存できる期間が異なります。 P1ファージのように宿主への吸着にカルシウムイオンが必要な場合や、ラム ダファージのようにマルトースを添加することにより吸着の効率が高まる場合 があります。その場合は、宿主菌の培養やトップアガーと混合する際に各成分 を適宜必要量加えます。 ====================================================================== 4.アジアの微生物 (4) 「ベトナム放線菌」から学んだこと (宮道慎二) ====================================================================== 放線菌は、細菌でありながら糸状に生育し、分岐を繰り返します。菌糸は寒 天培地中に伸長する基生菌糸と寒天表面から大気中に伸長する気菌糸に分化し ています。また、胞子の形態は袋状の胞子嚢を形成する種や運動性胞子を形成 する種もあり、カビを連想するほど多様性に富んでいます。放線菌(Actino- mycetales目)は、13亜目、42科、約200属、約2,200種を含み系統的にも極め て多様化しています。そして、放線菌は自然界の有機物、とりわけ難分解性有 機物の分解を担っています。
![]() |
![]() |
ベトナムで分離した放線菌1,882株を、分離地、分離源、分離法から眺めま すと、放線菌の多様性に対する自分なりの回答が見えてきました。例えば、 Streptosporangineae亜目の多くは土壌から分離されたのに対し、Actino- planes-Kineosporia-Cryptosporangiumの多くは落葉分解物から分離されまし た。つまり前者は土壌中の有機物を食べており、後者は落ち葉の分解に関わっ ていると考えられ、分解対象物が分類群によって異なっているのかもしれませ ん。放線菌は難分解性有機物の物理的・化学的多様性などに適応する方向に進 化したのではないでしょうか。分解対象物に特化する方向で進化と多様化を果 たし、全体として絶妙のバランスを保つ物質循環の生態系を形成してきたので はないかと推定しています。 自然界から分離される放線菌の多くはStreptomyces属で、非選択方法で分離 すると90%以上を占めます。Streptomyces属は頑強で生育速度も早いですが、 Streptomyces属以外(希少放線菌)の多くは、一般的にひ弱で生育が遅く、純 化、培養、保存が容易ではありません。Streptomyces属だけがどうして強靭な 生命力を獲得し自然界に繁栄しているのでしょうか。一方でひ弱な希少放線菌 が多様化を果たし、なお、脈々と生存している現実にはそれなりの理由がある に違いありません。Streptomyces属と希少放線菌の進化と多様化の戦略は全く 異なっていると考えています。

更に、生物進化の観点からも考えてみました。オゾン層が形成されて植物が 上陸し、有機物の堆積が始まったのは4億数千万年前からだとされています。 放線菌は対象とする有機物の種類や分解の程度、気候や水分、pH、塩濃度など の環境要因に適応し、共存する微生物と役割分担しながら共に進化し多様化し てきたと考えられます。すると、10~20億年という主要な原核生物の多様化の 歴史から見れば、放線菌の多様化は比較的新しい出来事と推定されます。結局 のところ、放線菌が獲得してきた形態的、系統的多様性は、生産物の多様性も 含めて、物質循環という彼らの任務を遂行する上での有利さと関わっているの ではないでしょうか。放線菌による落ち葉の分解過程は次のように想像できま す。まず運動性胞子が落ち葉に到達し菌糸で組織に侵入し、菌糸は分岐を繰り 返して生活領域を飛躍的に拡大、そして落ち葉を食べ終わると耐久性胞子を形 成して次のシーズンまで休眠。放線菌が進化を通して獲得したこのような生活 環は、落ち葉を分解する上で いかにも良くできたシステムと思えます。 落ち葉から放線菌を分離しているとストーカーのごとく執拗にコンタミネー ションする細菌があり、放線菌の純粋分離にとって厄介な問題です。ところが 最近になって、この現象を放線菌が嫌っていない、むしろ歓迎していることが 分かってきました。おそらく、両者の間には助け合いの関係がありそうで、こ れからの研究テーマとして取り上げることにしています。 ====================================================================== 5.NBRC微生物実験講習会について ====================================================================== 2月23日に実施した第1回NBRC微生物実験講習会は、盛況のうちに終了いたし ました。ありがとうございました。定員を超える応募をいただきましたので、 今後も開催する計画です。次回は、2011年5月あるいは6月を予定しています。 内容は、第1回と同様に復元・培養や保存方法に関する講義と、一般的な細菌 とカビを用いての実習となります。詳細な日程等が決まりましたら、ホームペ ージでご案内させていただきますので、よろしくお願いいたします。 【詳細】 https://www.nite.go.jp/nbrc/cultures/others/seminar.html ====================================================================== 6.海外微生物探索へのお誘い ====================================================================== 海外微生物資源へのアクセスをお手伝いします。直接現地へ渡航し、皆様の ニーズにあった微生物を探索することができます。ただいま、ベトナム、モン ゴルでの微生物探索を希望される方を募集しております。渡航にあたってのサ ポートもございますので、安心して現地へ渡航できます。応募期間は、モンゴ ルは4月15日、ベトナムは7月29日までとなっております。ご興味がございまし たら、お気軽に「abs-info@nbrc.nite.go.jp」へお問い合わせください。 【詳細】 https://www.nite.go.jp/nbrc/global/information/collabo_VN_20110126.html https://www.nite.go.jp/nbrc/global/information/collabo_MN_20110126.html ====================================================================== 編集後記 ====================================================================== ここ数年、花粉に悩まされ、春という季節を慈しむ気持ちが薄れていました が、今年ほどその訪れを待ち遠しく感じたことはありません。一方で、被災地 に復興の芽生えが生まれるのをただ待つのではなく、少しでも早く育つように 自分に何ができるかを考えています。(RF) ◆◇◆ ━━━━━━━━━━━━━━━━━━━━━━━━━━━ ◆◇◆ ・このメールマガジンは配信登録いただいたメールアドレスにお送りしており ます。万が一間違えて配信されておりましたら、お手数ですが、以下のアド レスにご連絡ください(nbrcnews@nbrc.nite.go.jp)。 ・メールマガジンに関するご質問、転載のご要望、配信先メールアドレスの変 更、受信の中止など、メールマガジンについてのお問い合わせは、以下のア ドレスにご連絡ください(nbrcnews@nbrc.nite.go.jp)。 ・当メールの送信アドレスは送信専用となっており、このメールへの返信には お応えできませんのでご了承ください。掲載内容は予告なく変更することが ございます。掲載内容を許可なく複製・転載されることを禁止します。 ・偶数月の1日(休日の場合はその翌日)に発行します。第9号は6月1日に発行 予定です。 編集・発行 独立行政法人製品評価技術基盤機構(NITE)バイオテクノロジー本部 生物遺伝資源部門(NBRC)メールマガジン編集局 ◆◇◆ ━━━━━━━━━━━━━━━━━━━━━━━━━━━ ◆◇◆











